Panu=Pityriasis versicolor..

Pityriasis versicolor, tentunya banyak dari kita yang asing mendengarnya. Lain lagi kalau panu, tentu semuanya tahu, dan hampir sebagian dari kita pernah terkena. Sebenarnya kedua nama itu sama, Pityriasis versicolor adalah nama medis dari panu. Penyakit ini  merupakan penyakit kulit supefisial yang disebabkan oleh Malassezia furfur atau Pityrosporum orbiculare , yang bersifat ringan, menahun, biasanya tanpa keluhan gatal.

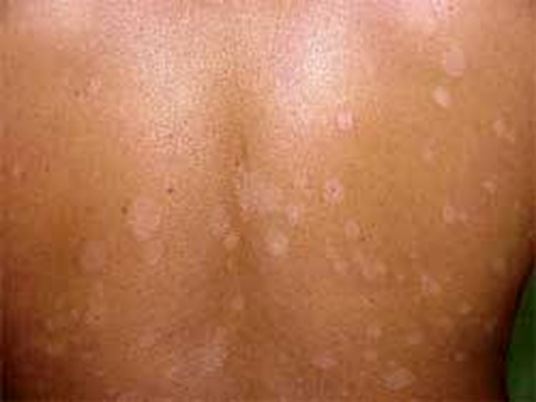
Gambaran klinis penyakit ini pada kulit superfisial dan tersering ditemukan pada daerah badan berlemak , berupa bercak bercak  teratur maupun  tidak, berbatas tegas walaupun  kadang dapat difus, berwarna putih, hitam coklat merah dan kuning coklat. Diatas lesi terdapat sisik yang halus. Sisik tersebut bila digores dengan benda tumpul akan terlihat goresan  berwarna putih dengan dibagian pinggirnya terlihat skuama halus, sebutan keren gambaran ini coup d’ongle of Besnier.

Bila gambaran klinis tidak begitu jelas diagnosis dapat dibantu dengan pemeriksaan sediaan langsung larutan KOH 10-20 %. Akan terlihat elemen- eleman jamur dengan konfigurasi hifa pendek dan spora berkelompok yang disebut meat ball and spaghetti configuration. Sedangkan pada penyinaran dengan Lampu Wood (menggunakan sinar UV) penyakit ini berfluorensensi warna kuning keemasan.

Penyakit ini adalah infeksi endogen, yang berarti jamur komensal. Oleh karena itu infeksi biasanya dapat terjadi bila ada faktor predisposisi. Faktor predisposisi ini antara lain adalah kelembaban kulit, kulit yang berlemak (jamur penyebab  adalah lipohilic  yeast like organism),keadaan-keadaan   epidermal  cell turn over rate yang lambat, misalnya penderita yang sakit kronis dan mendapat  pengobatan  kortikosteroid, malnutrisi dan faktor  genetik.

Obat–obat anti jamur topikal yang berkhasiat terhadap pitiriasis versikolor a.l :

  • Salap Whitfield berkekuatan penuh maupun berkekuatan setengahnya.
  • Larutan tiosulfas natrikus 20-25%
  • Sulfur presipitatus, biasanya dibuat dalam bentuk losio Kummerfeldi.
  • Haloprogin.
  • Tolnaftat dan tolsiklat.
  • Sampo selenium sulfida 2,5%
  • Propilen glikol 50-100 %
  • Obat-obat golongan imidazol, misalnya mikonazol; topikal maupun oral.
  • Siklopiroksolamin.
  • Naftifin HCI.
  • Terbinafin. ( topikal)

Sedikit tips, bila rekan atau pasangan mengetahui Anda terkena panu, ngeles aja biar gak malu, “oo..ini bukan panu, tapi Pityriasis versicolor..”..rasanya penyakitnya lebih keren kan,hehehehe…

Semoga bermanfaat….

dikutip dari berbagai sumber