Gambaran Eritrosit Abnormal
Disini akan sedikit kita bahas beberapa gambaran abnormal dari sel darah merah atau eritrosit yang bisa kita temukan pada saat pemeriksaan hapusan darah.

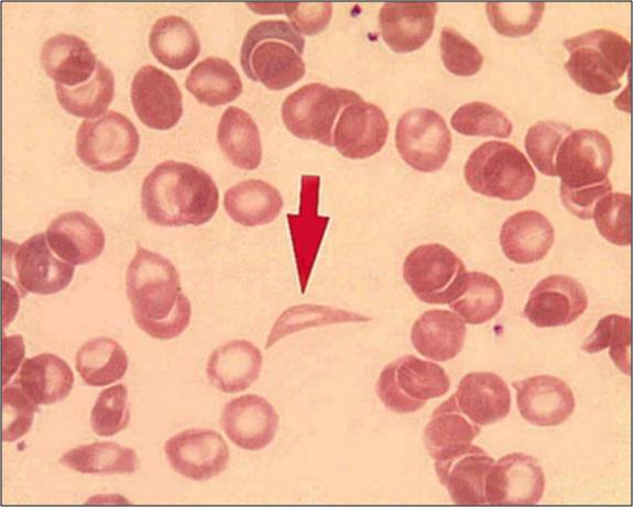
Gambaran sel darah merah yang hipokrom dapat ditemukan pada anemia kurang besi (defisiensi fe), sickle cells anemia, thalassemia, atau anemia karena penyakit kronis. Selain dari hapusan, dapat juga kita lihat dari hasil pemeriksaan darah MCH < 26 pg dan MCHC < < 32%

Gambaran makrositik berarti volume eritrosit lebih besar dari normal. Dapat ditemukan pada penyakit anemia megaloblastik karena kurang vit.B12 atau asam folat, anemia setelah perdarahan akut, atau anemia karena penyakit hati kronik. Dari data pemeriksaan darah ditemukan MCV > 94 fl

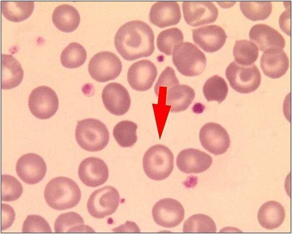
Gambaran ini dinamakan sel target karena bentukannya mirip dengan sasaran tembak. Dapat ditemukan pada Thalassemia disertai gambaran aniso-poikilositosis, polikromasi, hipokrom-mikrositik, dan bintik basofil.

Seperti telah dibahas di atas, dua gambaran ini bisa ditemukan di thalassemia. Selain itu, bintik basofil dapat ditemukan pada anemia sideroblastik dan keracunan timbal. Sedangkan poikilositosis merupakan kondisi kelainan bentuk baik sebagian bentuk dari eritrosit normal atau bentuk yang benar-benar berbeda. Kondisi ini bisa ditemukan pada berbagai kelainan karena tidak spesifik, seperti pada thalassemia, anemia karena defisiensi vitamin B12 atau asam folat, atau bisa juga pada coeliac disease.
Kedua gambaran ini dapat ditemukan pada pasien malaria. Prosedur pemeriksaannya dengan tetes tebal dan tetes tipis. Pada pemeriksaan ini dapat juga ditemukan skizon dan eritrosit yang telah pecah karena hemolisis.
Gambaran yang lain :


Sementara ini dulu..semoga bermanfaat..
dikutip dari berbagai sumber







