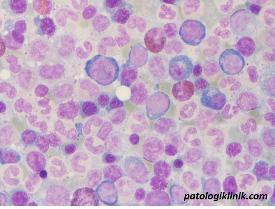
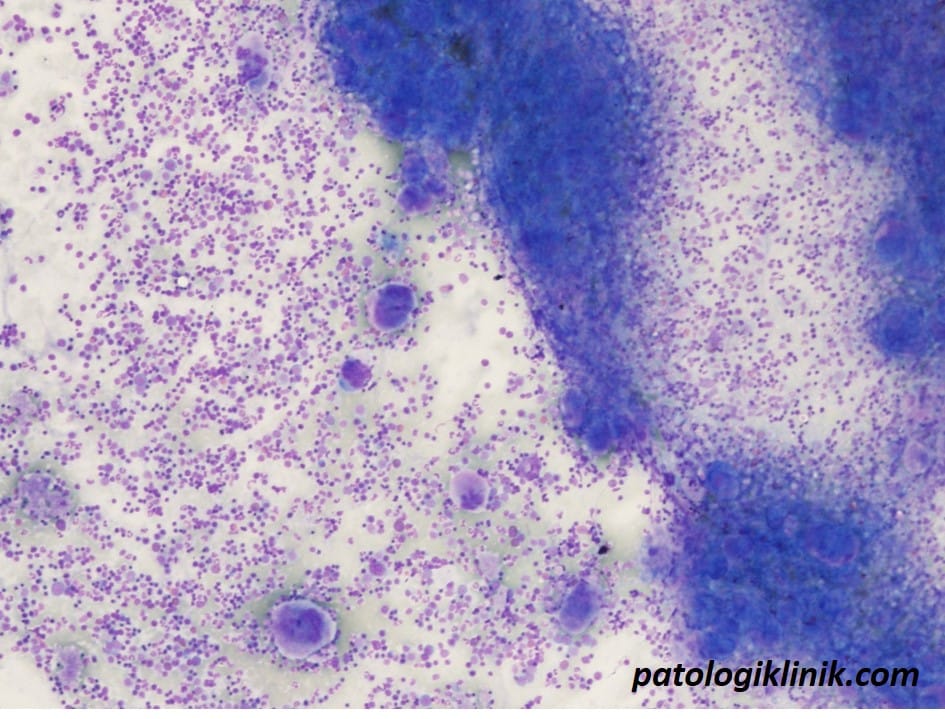
Gambaran Sumsum Tulang pada Polisitemia Vera
Kriteria diagnostik Polisitemia Vera (PV) menurut WHO 2016
Kriteria Mayor
- Hb > 16.5 g/dL(laki-laki)
- Hb > 16.0 g/dL (perempuan)
- atau
- Hematokrit > 49% (laki-laki)
- Hematokrit > 48% (perempuan)
- atau
- peningkatan massa sel darah merah
- Biopsi atau aspirasi sumsum tulang tampak hiperseluler dengan proliferasi ketiga seri eritroid, granulositik, dan megakariositik (panmielosis), dengan megakariosit matur dan bervariasi.
- Adanya mutasi JAK2 atau JAK2 exon 12
Kriteria minor: Kadar eritropoietin serum subnormal


1) Sumsum tulang hiperseluler 2)Sumsum tulang hiperseluler, tampak peningkatan jumlah megakariosit







