Hapusan Darah pada Leukemia Mieloid Kronis (CML)
Leukemia mieloid kronis (CML) merupakan penyakit mieloproliferatif yang ditandai oleh proliferasi sel mieloid yang berlebihan dengan kemampuan diferensiasi yang masih baik. Terdapat fase kronis dimana pasien tidak menunjukkan gejala klinis. Hal inilah yang sering menyebabkan pasien tidak terdiagnosis lebih awal. Biasanya diagnosis pada fase ini ditemukan kebetulan pada saat dilakukan hapusan darah tepi pada saat pemeriksaan darah karena alasan lain. Setelah beberapa lama fase kronis, hampir semua pasien masuk ke fase akut atau krisis blast (sel muda) dengan tingkat kematian yang lebih tinggi akibat leukemia akut atau berbagai komplikasinya.
Lantas bagaimana cara mendiagnosa pasien dengan CML? Selain melihat gejala dan tanda klinisnya, kita dapat mendiagnosisnya menggunakan hapusan darah tepi. Hal ini tentunya lebih mudah terutama bagi klinisi yang berada di daerah atau sedang PTT tanpa akses pemeriksaan aspires sumsum tulang.
Apa saja yang dapat dilihat dari hapusan darah perifer penderita CML?
Dari hapusan darah di atas, sekilas sudah bisa kita lihat tedapat peningkatan jumlah leukosit yang signifikan. Peningkatan ini pun disertai gambaran leukosit yang berbagai macam bentuknya seperti pasar malam, apa saja ada.
Di atas dapat kita lihat adanya basofil dan berbagai seri mieloid seperti netrofil segmen, netrofil stab, mielosit, metamielosit, dan promielosit.
Peningkatan jumlah eosinofil (sitoplasma berwarna merah) juga dapat ditemukan pada hapusan darah tepi pasien CML.
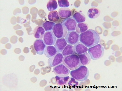
Sedangkan hapusan darah seperti di atas dapat kita temukan pada pasien CML yang telah mengalami kriss blast. Dapat kita lihat adanya sel muda dari seri mieloid yang berada pada darah tepi, juga disertai adanya seri mieloid yang lain seperti eosinofil, neutrofil, dan metamielosit.
Dari beberapa gambar di atas dapat kita lihat bahwa hapusan darah tepi dari seorang penderita CML sangat khas dengan adanya semua seri mieloid dengan jumlah yang meningkat. Hal ini menggambarkan peningkatan proliferasi sel dan diferensiasi sel yang masih baik, dan berkurangnya apoptosis (kematian sel terprogram).
Semoga bermanfaat



