Hemophagocytic Lymphohistiocytosis (HLH)
Kriteria diagnostik Hemophagocytic Lymphohistiocytosis (HLH), 5 di antara 8 (Histiocyte Society, 2004):
- demam
- splenomegali
- sitopenia (minimal 2 seri sel)
- Hb <9 g/dL
- trombosit <100.000/uL
- netrofil <1.000/uL
- hipertrigliseridemia (puasa >265 mg/dL) dan/atau hipofibrinogemia (<150 mg/dL)
- hiperferitinemia (>500 ng/mL)
- Hemofagositosis (sumsum tulang, limpa, limfonodi)
- aktivitas sel NK turun atau tidak ada
- peningkatan soluble IL-2 receptor (CD25) (> 2400 U/mL)
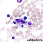
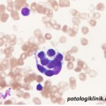
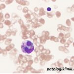
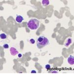
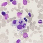
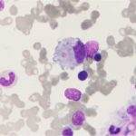
Kriteria morfologi sumsum tulang (Gars et al, 2018):
- hemofagositosis granulosit (1 per 1.000 sel)
- hemofagositosis normoblas (4 per 1.000 sel), dan
- setidaknya 1 hemofagositosis multipel sel berinti
Sumber:
Contino et al. Hemophagocytic Lymphohistiocytosis in Pediatric Patients: A Review. J Blood Disord Symptoms Treat 2018. Volume 2 (1): 011.
Gars et al. Bone marrow histomorphological criteria can accurately diagnose hemophagocytic lymphohistiocytosis. Haematologica 2018. Volume 103(10):1635-1641.







