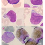
Mieloblas dengan Inti Cup-like
Mieloblas dengan indentasi inti berbentuk seperti cangkir (cup-like invagination) atau disebut juga fishmouth nuclei (karena intinya memiliki indentasi berbentuk seperti mulut ikan). Bentukan cup-like berasal dari lipatan material sitoplasma ke dalam inti. Kasus AML dengan inti cup-like berhubungan dengan mutasi FLT3-ITD dan/atau NPM1 yang memiliki prognosis lebih baik.
Kriteria mieloblas dengan inti cup-like sebagai berikut:
- Luasan indentasi >25% diameter inti
- Jumlah >10% dari total mieloblas








