Neuroblastoma pada Sumsum Tulang
Evaluasi sumsum tulang merupakan aspek penting dalam manajemen pasien dengan neuroblastoma, karena menentukan stage penyakit dan agresifisitas kemoterapi. Metastasis sel ganas ke sumsum tulang sering terjadi pada kasus neuroblastoma (sekitar 70% kasus) dan termasuk pada kelompok resiko tinggi.
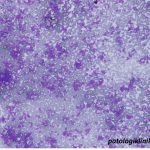
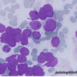
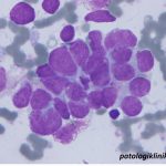
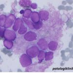
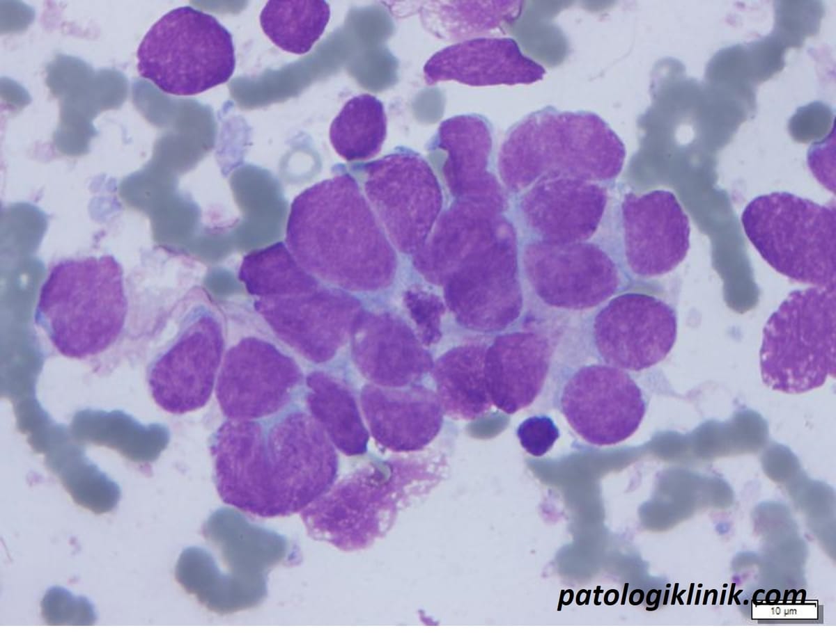
Ciri sel neuroblastoma pada sumsum tulang:
- fibrosis sumsum tulang (dry tap)
- ukuran sel besar dengan sitoplasma sempit
- anak inti menonjol
- jumlah banyak, sel bisa terpencar atau membentuk cluster dengan pola roset dengan matriks fibrin berwarna biru hingga ungu muda (Homer-Wright rosettes)




