Nyeri Tulang? Hati-hati Multiple Myeloma
Multiple myeloma (MM) adalah keganasan yang terjadi pada sel plasma. Sel plasma ini merupakan salah satu tipe sel darah putih yang bertugas menghasilkan antibodi. Pada MM, akan terjadi akumulasi sel plasma yang tidak normal yang mengganggu produksi sel darah normal yang lain seperti eritrosit dan trombosit, sehingga dapat muncul tanda seperti anemia dan trombositopenia. MM merupakan 1 % dari penyakit keganasan dan 10 % dari keganasan sel darah. Angka kejadian MM kira-kira 4 kasus/100.000 orang/tahun.
Nyeri tulang, terutama pada punggung atau dada, merupakan salah satu gejala yag dapat dirasakan oleh sekitar 60% penderita MM. Nyeri bertambah parah jika digerakkan. Lemah dan lesu merupakan gejala umum yang berkaitan dengan anemia. Gangguan ginjal sampai mengarah ke gagal ginjal bisa terjadi pada penderita MM. Hal ini dapat terjadi akibat dari sumbatan tubulus ginjal oleh protein atau akibat peningkatan kadar kalsium dalam darah. Selain itu, juga dapat terjadi perdarahan akibat trombositopenia dan penderita lebih rentan terkena infeksi bakteri. Untuk mempermudah, gejala yang khas dari MM biasa disingkat CRAB (Calcium, Renal failure, Anemia, dan Bone lesion).
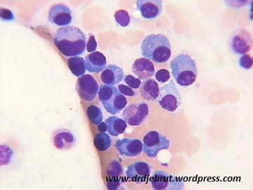
Pemeriksaan laboratorium yang biasa dikerjakan adalah darah lengkap, protein total, albumin, globulin beserta elektroforesis protein, kalsium darah, dan protein Bence-Jones pada urine. Pada darah lengkap bisa ditemukan anemia normokrom normositik dan trombositopenia. Terjadi peningkatan kadar globulin dan penurunan albuin, dengan hasil elektroforesis protein menunjukkan grafik yang tinggi dengan puncak yang lancip pada gamma globulin. Selain itu terjadi peningkatan kadar kalsium darah dan pemeriksaan protein Bence Jones pada urin menunjukkan hasil positif. Selain laboratorium, pemeriksaan radiologis juga menunjukkan kelainan yaitu lesi punched-out, seperti osteoporosis atau tidak jarang malah terjadi patah tulang.
Pengobatan yang dilakukan pada penderita MM di antaranya kemoterapi dan transplantasi sumsum tulang. Semoga bermanfaat.
Sumber: Manual of Clinical Hematology
