Pemeriksaan I/T Ratio

Pemeriksaan I/T Ratio

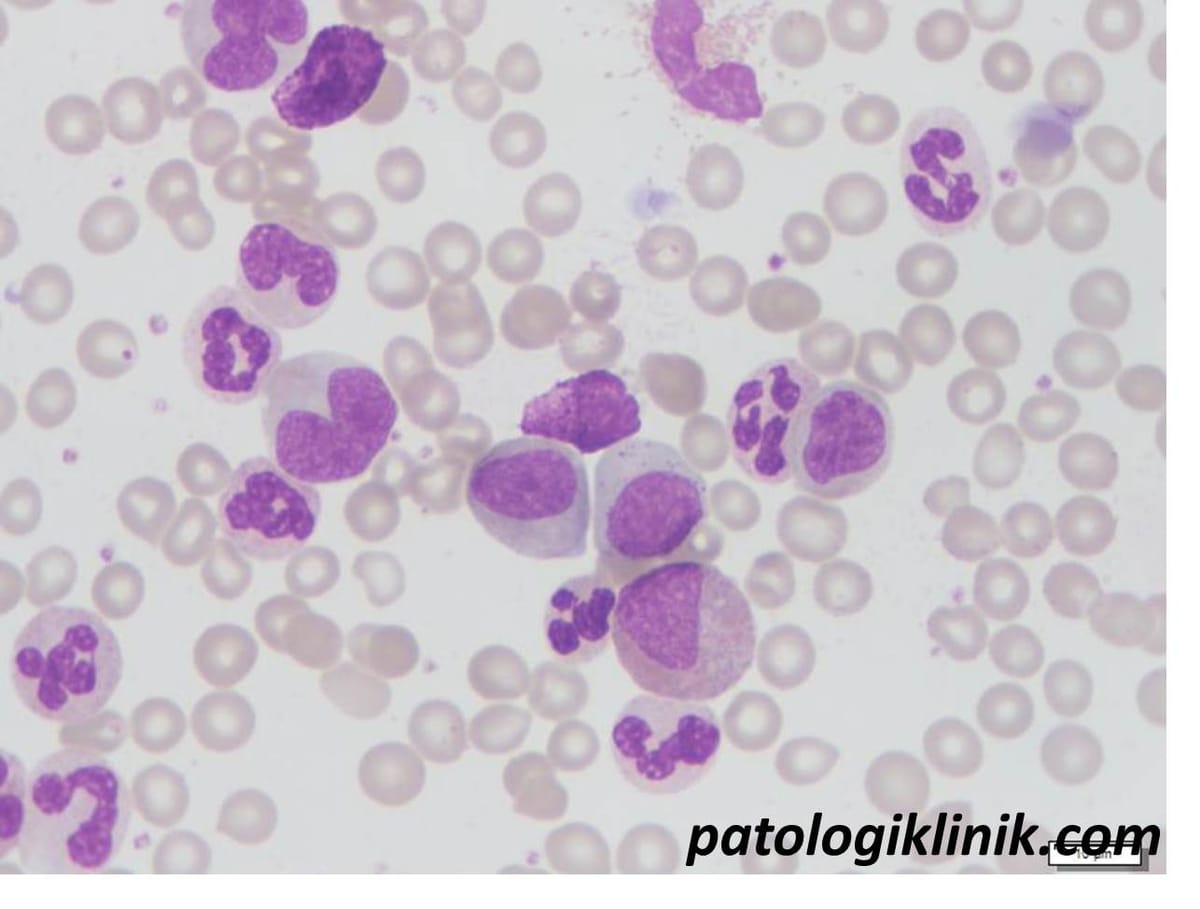
Immature to Total neutrophil ratio (I/T ratio) adalah salah satu pemeriksaan, di samping darah lengkap dan CRP, yang dapat membantu diagnosis sepsis pada pasien bayi. Pemeriksaan ini seperti pemeriksaan apusan darah biasa, yaitu dengan membuat apusan darah dengan pengecatan Wright atau Giemsa yang kita baca hitung jenis per 100 leukositnya. Dalam 100 leukosit tersebut kita hitung berapa jumlah dari masing-masing jenis leukosit. Perhitungan I/T ratio didapat dari pembagian jumlah netrofil imatur oleh jumlah total seluruh bentuk netrofil.

Yang dimaksud dengan netrofil imatur disini adalah bentuk netrofil stab, metamielosit, dan mielosit, sedangkan jumlah total netrofil adalah keseluruhan jumlah dari semua bentuk netrofil baik yang imatur dengan segmen. Adanya peningkatan I/T ratio secara tidak langsung menunjukkan adanya shift to the left dari sebaran hitung jenis leukosit.

 

I/T ratio = (stab+metamielosit+mielosit) / (segmen+stab+metamielosit+mielosit)

 

Nilai normal dari I/T ratio adalah <0,2. Nilai di atas 0,2 menunjukkan kemungkinan adanya infeksi bakteri berat atau sepsis, tentunya ditunjang dengan pemeriksaan yang lain baik itu pemeriksaan fisik maupun pemeriksaan laboratorium yang lain.

 

Semoga bermanfaat.

Sumber: Management of Neonates With Suspected or Proven Early-Onset Bacterial Sepsis; Diagnostic Value of C-Reactive Protein and Other Hematological Parameters in Neonatal Sepsis