Pemeriksaan Laboratorium pada ITP
Diana, 19 tahun, sudah seminggu ini mengeluh sering mimisan terutama saat badannya terasa capai. Dia juga mengeluhkan gusinya mudah berdarah dan lebam-lebam di tungkai bawah. Tidak ada demam dan pembesaran organ. Setelah serangkaian pemeriksaan, dokter mendiagnosis Diana dengan ITP.

ITP (immune thrombocytopenic purpura/ idiopathic thrombocytopenic purpura/ immune thrombocytopenia) seperti yang diderita Diana merupakan sindroma klinis dengan gejala-gejala yang muncul akibat rendahnya jumlah trombosit. Gejala ini bisa berupa mudah lebam (purpura), mimisan, gusi berdarah, bintik-bintik merah pada kulit (ptekiae), atau menstruasi yang banyak dan memanjang. Diagnosis ITP ditegakkan secara klinis berdasarkan tanda dan gejala pada pasien dengan menyingkirkan semua penyebab yang bisa menurunkan jumlah trombosit, ditunjang dengan pemeriksaan laboratorium.
Pemeriksaan laboratorium pada ITP diantaranya adalah:
- Pemeriksaan darah lengkap
Hasil pemeriksaan darah lengkap pada pasien ITP terutama menunjukkan kadar trombosit yang rendah, dimana pada ITP akut bisa <20.000 dan ITP kronis antara 30.000-80.000. Kadar Hb dan jumlah leukosit normal, kecuali pada keadaan terjadi perdarahan hebat akibat jumlah trombosit yang terlalu rendah, kadar Hb bisa juga turun.
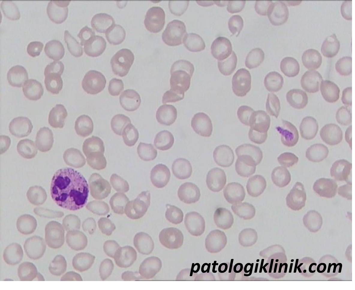
- Evaluasi apusan darah tepi
Pada evaluasi apusan darah tepi didapatkan morfologi dari eritrosit dan leukosit yang normal. Morfologi dari trombosit biasanya normal dengan adanya beberapa trombosit yang besar (giant thrombocyte). Kesan jumlah trombosit terlihat turun sesuai dengan jumlah trombosit pada pemeriksaan darah lengkap.

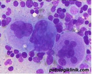
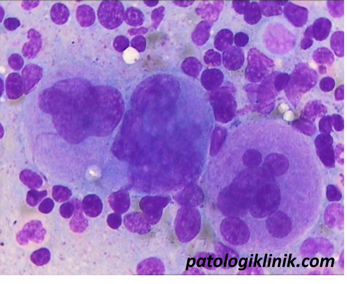
3. Pemeriksaan aspirasi sumsum tulang (BMA/BMP)
Pada sumsum tulang biasanya tampak adanya peningkatan aktivitas megakariopoiesis. Megakariosit lebih besar ukurannya, dan bentuknya muda dengan nukleus tunggal, kontur yang halus, dan sitoplasma yang sedikit.

4. Immature platelet fraction (IPF)
IPF merupakan parameter pemeriksaan yang terdapat pada Sysmex XE-series hematology analyzers. IPF menunjukkan fraksi trombosit muda yang masih ada sisa-sisa RNA (seperti pada retikulosit). Sensitifitas dan spesifisitas IPF sebagai biomarker untuk mendiagnosis ITP adalah sebesar 86% dan 70%. Terdapat kolerasi terbalik antara jumlah trombosit dan IPF, semakin rendah jumlah trombosit maka semakin tinggi IPF-nya. Nilai IPF mencerminkan derajat keparahan destruksi trombosit. Sensitifitas pemeriksaan IPF sangatlah rendah untuk kasus-kasus trombositopenia yang bukan disebabkan ITP (sekitar 42%).

Semoga bermanfaat.
Referensi:
Neunert C, Lim W, Crowther M, Cohen A, Solberg L, Crowther MA. The American Society of Hematology 2011 evidence-based practice guideline for immune thrombocytopenia. Blood. 2011 Apr 21;117(16):4190-207.
Naz A, Mukry SN, Shaikh MR, Bukhari AR, and Shamsi TS. Importance of immature platelet fraction as predictor of immune thrombocytopenic purpura. Pak J Med Sci. 2016 May-Jun; 32(3): 575–579.