Pengecatan Diff Quik, alternatif cepat dan mudah dari Wright
Sebagai tenaga kesehatan yang bekerja di laboratorium klinik, tentunya kita sudah terbiasa menggunakan cat Wright atau Giemsa sebagai cat utama dalam pengecatan apusan darah tepi. Lamanya proses mengecat atau hasil cat kotor sudah menjadi keluhan yang rutin kita keluhkan atau kita dengar dari teman-teman yang harus membaca apusan darah tepi. Perbedaan penggunaan buffer dalam pengecatan Wright antara buffer buatan sendiri, merk lokalan, bahkan pemakaian air keran sebagai buffer juga seringkali memberikan hasil yang tidak konsisten antar pembuat apusan. Maka penggunaan cat Diff Quik bisa menjadi salah satu solusi untuk mengatasi hal ini.



Langkah dalam pengecatan Diff-Quik yang sederhana dan cepat lebih memberikan hasil yang konsisten walaupun dilakukan oleh operator yang berbeda-beda dibandingkan pengecatan Wright. Sebagai perbandingan, lama proses pengecatan Wright atau Giemsa membutuhkan waktu sekitar 20-30 menit sedangkan pengecatan Diff-Quik hanya membutuhkan waktu sekitar 1-2 menit.
Alat dan bahan pengecatan Diff Quik:
- 3 macam larutan Diff-Quik (terdiri dari 1. metanol, 2. eosin, 3. methylen blue)
- 3 pot kecil bertutup ulir
- kaca obyek atau preparat
- tisu
- sarung tangan


Cara pengecatan Diff-Quik sangat mudah. Intinya adalah menyelupkan di masing-masing larutan 5 kali, masing-masing celupan 1 detik kemudian dibilas dan ditunggu kering. Agar lebih mudah, langkah lengkapnya bisa dilihat pada gambar yang diambil dari University of Bristol berikut di bawah ini:




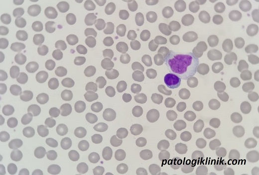
Sangat mudah bukan caranya? Juga jauh lebih cepat dibandingkan menggunakan cat Wright. Cat ini sangat berguna salah satunya untuk konfirmasi jumlah trombosit yang rendah sehingga TAT masih bisa tercapai. Tentunya cat Wright lebih unggul terutama pada warna inti leukosit dan granulasi yang terlihat lebih jelas. Di bawah ini contoh pengamatan mikroskopis dari pengecatan Diff-Quik.



Selamat mencoba!