Pseudo Pelger-Huet Anomaly
Pseudo Pelger-Huet anomaly
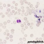
Pseudo Pelger-Huet anomaly merupakan salah satu tanda displasia netrofil. Bentukan netrofil ini dapat ditemukan pada beberapa kondisi sebagai berikut:
- sindroma mielodisplasia (MDS)
- anemia megaloblastik
- Pelger-Huet kongenital
- keganasan hematologi lainnya
Ciri mikroskopik:
- 2-3x lebih besar dari eritrosit
- rasio inti : sitoplasma sempit (sitoplasma lebar)
- inti matur dengan 2 lobus segmen yang dihubungkan dengan filamen kromatin tipis
- tidak ada nukleoli
- kadang disertai hipogranulasi atau granula yang abnormal






