Patologi Klinik
  • Home
  • Topik
  • Berita
  • Download
Masuk Daftar
Atlas

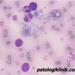
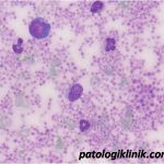
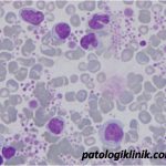
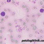
Sel Sezary

dr. Dian Sukma Hanggara, SpPK, M.Biomed

dr. Dian Sukma Hanggara, SpPK, M.Biomed

16 Jan 2019 — 1 min read
Sel Sezary

Ciri-ciri sel Sezary:

  • seukuran limfosit
  • membran inti ireguler (inti berbentuk seperti otak/cerebriform)
  • anak inti tidak ada
  • sitoplasma sedikit berwarna biru muda
Gambar atlas diambil dari hematologyoutlines.com
Sel Sezary
Sel Sezary
Sel Sezary
Sel Sezary
Sel Sezary
Sel Sezary
Sel Sezary
Atlas Hematologi gambar sel sezary pemeriksaan sel sezary sel sezary adalah

Artikel Terkait

Materi Workshop BMP 2023

Materi Workshop BMP 2023

Materi 1 Tindakan BMP Unduh Materi 2 Gambaran DT dan ST pada keganasan Unduh

29 Jul 2023
Pengecatan Diff Quik, alternatif cepat dan mudah dari Wright

Pengecatan Diff Quik, alternatif cepat dan mudah dari Wright

Sebagai tenaga kesehatan yang bekerja di laboratorium klinik, tentunya kita sudah terbiasa menggunakan cat Wright atau Giemsa sebagai cat utama dalam pengecatan apusan darah tepi. Lamanya proses mengecat atau hasil cat kotor sudah menjadi keluhan yang rutin kita keluhkan atau kita dengar dari teman-teman yang harus membaca apusan darah tepi.

11 Jun 2023 — 3 min read
[Download] Pedoman Nasional Pelayanan Kedokteran Tata Laksana Thalassemia (KMK)

[Download] Pedoman Nasional Pelayanan Kedokteran Tata Laksana Thalassemia (KMK)

KEPUTUSAN MENTERI KESEHATAN REPUBLIK INDONESIA NOMOR HK.01.07/MENKES/1/2018 TENTANGPEDOMAN NASIONAL PELAYANAN KEDOKTERAN TATA LAKSANA THALASEMIA Unduh Semoga bermanfaat

01 Okt 2022
[Download] Pemeriksaan Laboratorium pada Thalassemia

[Download] Pemeriksaan Laboratorium pada Thalassemia

Powerpoint Pemeriksaan Laboratorium pada Thalassemia, disampaikan pada webinar Peningkatan Pengetahuan Thalassemia bagi Dokter dan Tenaga Kesehatan pada Fasilitas Kesehatan Tingkat Primer dan Masyarakat awam di Malang Raya oleh Departemen Patologi Klinik Fakultas Kedokteran Universitas Brawijaya tanggal 01 Oktober 2022. File bisa diunduh pada link berikut: Unduh Semoga bermanfaat

30 Sep 2022
  • Topik
  • Berita
  • Download
  • Tentang
  • Daftar
Patologi Klinik

Patologi Klinik

Artikel & Referensi Seputar Patologi Klinik